
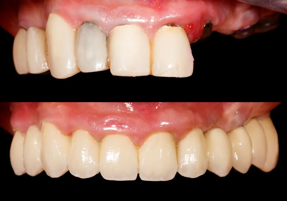
Archak Dental Offers Minimally Stress-Free Dentistry!
12+

6




















Archak Dental brings 12+ years of experience, offering compassionate, top-quality care with the latest dental technology. Her Dental clinic is dedicated to providing comprehensive dental care for the entire family, ensuring every member feels comfortable and cared for.

Experience why Archak Dental Clinic is Bangalore’s trusted choice for top-quality, pain-free dentistry. We make your comfort and smile transformation our top priority.

WhatsApp us for an Appointment